
Get your dream smile with clear aligners in North Lancashire
Dr Jonny Stevens helps busy professionals like you transform their smiles without metal braces getting in the way of your confidence.
Dr Jonny Stevens helps busy professionals like you transform their smiles without metal braces getting in the way of your confidence.
Invisalign is a modern orthodontic system that uses clear, custom-made aligners to gradually shift your teeth into place. Think of it as a series of nearly invisible trays designed just for you.
Each aligner gently moves your teeth a little at a time, so by the end of your treatment, you have the smile you've always wanted.
The magic behind Invisalign starts with advanced 3D imaging. This technology creates a detailed map of your teeth, allowing our team to plan your treatment with precision.
From this digital blueprint, your aligners are crafted to ensure that each step of your smile transformation is both comfortable and effective.
Our popular smile transformation combines the best of what modern cosmetic dentistry offers:
Fits your busy life: Take aligners out for important meetings or lunch with clients
Quick results: See changes in just weeks, with full transformations usually in months
No awkward appointments: We respect your schedule with efficient, on-time visits
Feel a bit self-conscious about:
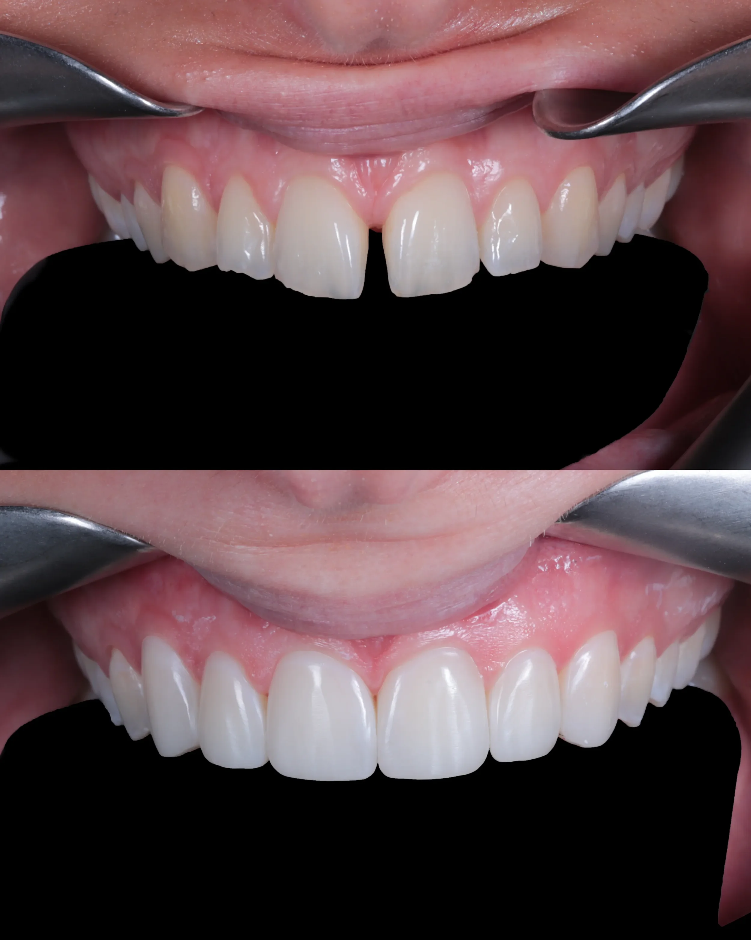
Gaps between teeth?
Teeth that overlap or look crowded?
A bite that doesn't quite feel right?
We sort all these niggles without anyone knowing you're having treatment with our advanced technology and solutions!
When you choose Dr Jonny Stevens for your ABC Smile Makeover, you're not just another patient. You're joining hundreds of local professionals who've transformed their confidence with us.
Using the same cutting-edge technology that celebrities enjoy (but without the London price tag!), Dr Jonny Stevens creates a digital blueprint of your perfect smile before you even start treatment.
Each package can be customised to fit your unique needs and preferences. The pricing guide serves as a guideline and may be adjusted to help you achieve your perfect smile.
Find out morePop in for a friendly chat at our Bolton clinic.
Book your free online consultation today. Your future self (and your IG profile) will thank you for making today the day everything changed!
Most patients report minimal discomfort with Invisalign. You might feel slight pressure when switching to a new set of clear aligners, but this usually subsides within a day or two.
On average, treatment takes about 3–6 months, with longer treatments up to 12 months, depending on your individual needs.
Yes, Invisalign can correct alignment issues in both your upper and lower teeth, ensuring a balanced and harmonious smile. Schedule an appointment with us now to help you get started on your journey to your perfect smile.
No, clear aligners do not cause discolouration. In fact, clear aligners can help maintain your teeth’s natural brightness by protecting them from staining agents, as long as you keep them clean.
The cost of clear aligners varies depending on your specific treatment needs. While it can sometimes be comparable to traditional braces, many patients find that the benefits of invisible braces, such as aesthetics and convenience, justify the investment.